Vecni Flour là gì? Varnish (Vecni) phòng ngừa sâu răng trong nha khoa
Vecni Flour, hoặc còn gọi là Flour Varnish, là sản phẩm chứa 5% natri Fluoride (NaF), được thiết kế để hỗ trợ cung cấp Fluoride trực tiếp cho răng bằng cách áp dụng trực tiếp lên bề mặt răng.
Được phát triển đặc biệt cho trẻ nhỏ có răng sữa, Vecni Flour không chỉ giúp ngăn chặn sự phát triển của sâu răng mà còn làm chậm tiến trình sâu răng, đặc biệt là ở những trẻ có nguy cơ cao mắc bệnh sâu răng.
Tác dụng của bôi Vecni Fluor cho bé
Vecni Fluor là một sản phẩm được biết đến với tác dụng chính là tạo ra một lớp màng bảo vệ răng, giúp chống lại sự tấn công của vi khuẩn và tăng cường sức khỏe cho răng của bé. Cách sử dụng Vecni Fluor đang thu hút sự quan tâm của nhiều phụ huynh.
Sản phẩm hoạt động bằng cách bảo vệ men răng thông qua quá trình "tái khoáng" và sử dụng axit để giữ cho men răng khỏe mạnh, ngăn chặn cơn đau nhức răng do axit gây ra. Điều này giúp giảm nguy cơ sâu răng ở trẻ nhỏ và ngăn chặn sự tái phát của bệnh.
Ngoài ra, Vecni Fluor còn có những tác dụng khác như:
- Ngăn ngừa sâu răng hiệu quả.
- Ức chế quá trình phát triển của bệnh sâu răng.
- Cải thiện tình trạng men răng giảm sức mạnh.
- Giảm tình trạng ê buốt răng cho bé.
- Tăng cường độ chắc khỏe của răng, giúp trẻ có thể ăn uống bình thường mà không gặp phải cảm giác đau đớn hay khó chịu.
Vecni flour có an toàn cho trẻ không?
Đặc biệt, Vecni flour rất phù hợp cho trẻ từ 6 – 16 tuổi, độ tuổi mà răng đang phát triển và hình thành khỏe mạnh cho tương lai. Việc sử dụng Vecni flour giúp tạo ra một lớp che chắn bảo vệ các răng non khỏi sự axit hóa lớp men răng, ngăn chặn vi khuẩn tấn công và đồng thời ngăn chặn phá hủy men răng. Để bảo vệ hàm răng cho trẻ nhỏ, bố mẹ nên cân nhắc sử dụng Vecni flour như một phương tiện hiệu quả và an toàn.
Đánh giá Ưu điểm - nhược điểm của Vecni flour
Ưu điểm của Vecni flour
- Vecni flour đảm bảo an toàn cho trẻ sơ sinh và trẻ nhỏ.
- Có hương vị dâu, cam, hoặc kẹo cao su dễ chịu, thích hợp với khẩu vị của trẻ em.
- Đơn giản và dễ sử dụng, hấp thụ nhanh chóng với hiệu quả cao. Không yêu cầu kỹ thuật chuẩn bị phức tạp.
- Vecni sau khi bôi lên bề mặt răng sẽ nhanh chóng cứng lại, tạo thành một lớp màng mỏng trên răng.
- Giảm thiểu việc nuốt flour, không yêu cầu kiêng ăn uống sau khi sử dụng.
- Chỉ hạn chế việc chải răng trong 24 giờ đầu tiên sau khi sử dụng Vecni, không quá bất tiện.
- Hiệu quả lâu dài kéo dài trên 3 tháng.
- Chi phí hợp lý.
- Nhiều loại Vecni flour trắng khi quét lên răng tạo thành lớp màng mỏng khó phân biệt, không ảnh hưởng đến thẩm mỹ của răng.
Nhược điểm của Vecni flour
- Sử dụng thuốc Fluor có thể gây thay đổi tạm thời màu sắc bề mặt răng và vật liệu trám răng.
- Khi bị mài mòn, màu vàng nhạt dần xuất hiện, làm mất đi sự đồng đều ban đầu.
- Mùi vị của thuốc Fluor có thể gây cảm giác buồn nôn, đặc biệt sau khi tiếp xúc với nó trong vòng 24 giờ sau điều trị.
- Sử dụng quá hàm lượng sẽ gây ảnh hưởng không tốt cho răng.
Hướng dẫn cách bôi Vecni Fluor cho bé
Vecni Fluor là loại sản phẩm chăm sóc răng được áp dụng trực tiếp lên bề mặt răng của bé. Nó tạo ra một lớp bảo vệ cho răng và có khả năng hiệu quả trong việc ngăn ngừa tình trạng ê buốt và sâu răng. Tuy nhiên, cần lưu ý rằng sau khi sử dụng, có thể gây ra cảm giác buồn nôn, đặc biệt là khi bé ăn thức ăn trong vòng 24 giờ sau khi điều trị.
1. Quy trình bôi Vecni Fluor bảo vệ răng cho bé
- Bước 1: Lau sạch và làm khô bề mặt răng bằng miếng gạc sạch trước khi bắt đầu bôi Vecni Fluor cho bé.
- Bước 2: Sử dụng cụ chuyên quét Vecni từ vỉ đóng sẵn để lấy Vecni, sau đó quét một lớp mỏng trên mặt trong, mặt ngoài, mặt bên và kẽ răng.
- Bước 3: Để răng tự khô sau 2 phút, giữ bé há miệng trong khoảng 5 - 10 phút mà không để bé mím môi hoặc dùng lưỡi chạm vào những vùng răng vừa được bôi.
2. Lưu ý khi sử dụng:
- Tần suất: Thường bôi 2-4 lần/năm (mỗi 3-6 tháng), tùy theo nguy cơ sâu răng của trẻ.
- An toàn: Vecni Fluor được đánh giá là an toàn cho trẻ nhỏ, kể cả khi nuốt phải một lượng nhỏ (do liều dùng rất thấp, thường 0,25-0,5 ml mỗi lần bôi).
- Tốt nhất nên bôi thuốc vào buổi tối, trước khi đi ngủ
- Kiêng ăn uống trong vòng 4 giờ. Ăn uống bình thường sau thời gian sử dụng nhưng kiêng thức ăn quá nóng, quá lạnh.
- Bệnh nhân không được đánh răng sau khi thoa thuốc 4-6 tiếng thời gian tốt nhất thuốc chuyển hoá ACP và Flour, sau thời gian này đánh răng bình thường (có tài liệu kiêng 24 giờ).
- Khi uống nước, hãy sử dụng ống hút để không làm mất tác dụng của Vecni Fluor.
- Không chạm tay vào thuốc vì sẽ làm giảm tác dụng.
- Sử dụng đúng lượng Vecni Fluor được khuyến cáo để tránh ngộ độc Fluor.
- Không sử dụng Vecni Fluor nếu bé có vết loét trượt niêm mạc hoặc dị ứng với colophony.
- Không sử dụng Vecni Fluor liên tục dưới 3 tháng/lần để đảm bảo an toàn.
Chỉ định thuốc bôi bề mặt răng Fluor
Sử dụng thuốc bôi bề mặt răng Fluor được đề xuất trong các tình huống sau:
- Bệnh nhân có nguy cơ cao hoặc trung bình về sâu răng, đặc biệt là trẻ em dưới 5 tuổi.
- Đối với người cao tuổi hoặc những người có tổn thương ở ngà chân răng, có thể cần nồng độ Fluor cao hơn để ngăn chặn tình trạng này.
- Trong trường hợp tổn thương nghiêm trọng về men răng, việc sử dụng nồng độ Fluor cao hơn có thể cần thiết để tái tạo.
- Được áp dụng để ngăn chặn sự hình thành sâu răng trên bề mặt chân răng.
- Sử dụng Fluor xung quanh dây đeo và giá đỡ chỉnh nha để giữ cho răng luôn khỏe mạnh.
Tuy nhiên, không nên sử dụng phương pháp này cho những người có nguy cơ thấp hoặc không bị sâu răng, đặc biệt là khi sống trong khu vực có nước cung cấp có Fluor. Thuốc bôi bề mặt Fluor không được khuyến cáo cho bệnh nhân mắc viêm lợi hoặc vấn đề về miệng.
Bé bao nhiêu tuổi thì có thể bôi Vecni Fluor?
- Viện Hàn lâm Nhi khoa Hoa Kỳ (AAP) và Hiệp hội Nha khoa Hoa Kỳ (ADA) khuyến nghị có thể sử dụng Vecni Fluor ngay khi răng sữa đầu tiên mọc (thường từ 6 - 12 tháng), đặc biệt với trẻ có nguy cơ sâu răng cao (ví dụ: gia đình có tiền sử sâu răng, vệ sinh răng miệng kém).
- Đối với trẻ từ 6 tháng đến 3 tuổi, sử dụng lượng rất nhỏ (0,1g đến 0,5g) mỗi lần, một lần mỗi ngày. Trẻ từ 3 đến 6 tuổi có thể sử dụng lượng tương đối hơn (0,5g đến 1g) mỗi lần, hai lần mỗi ngày.
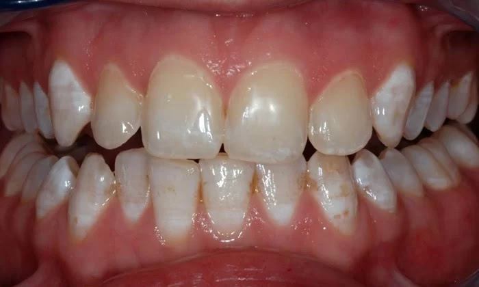
Mức độ và những dấu hiệu nhận biết dư Fluor:
- Nhẹ: Răng thay đổi màu sắc.
- Trung Bình: Xuất hiện đốm trắng đục trên bề mặt răng.
- Nặng: Xuất hiện vết nâu và đen lỗ rỗ trên bề mặt răng.
VIDEO HƯỚNG DẪN




0 Nhận xét